Home Leistungen

HomeÖffnungszeitenLeistungenLeistungen allgemeinLeistungen ImplantateLeistungen CerecInformationenDas TeamDie PraxisOnline TermineAnfahrtImpressum

 
 
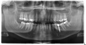
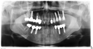
Zahnimplantate sind eine sehr elegante und zeitgemässe Lösung, um fehlende Zähne zu ersetzen. Von der Einzelzahnlücke bis zum zahnlosen Kiefer sind Implantate einsetzbar.

 

Wir beraten Sie individuell über die Möglichkeiten und den Behandlungsablauf.